Our New Website is Live!
Pooler,
GA
31322
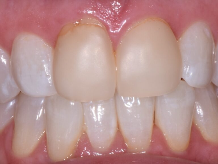
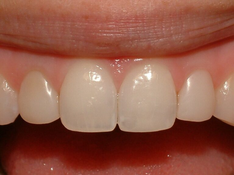
Please select from the treatment categories below to view results.
This content may not be appropriate for all ages. Please continue at your own discretion.
You don’t want to walk away before you check out our Treatment Planning Tool to see how our services can help with your dental concerns.
Build My Treatment Plan
"*" indicates required fields
Booking made easy and convenient. Let our client concierge team know how to get in touch to book your appointment.
Δ